Logo
  • Главная
  • Услуги
  • Прайс
  • Фото работ
    • Наши пациенты
    • До и После
  • Команда
    • Врачи-стоматологи
      • Вся команда
      • Гигиенист
      • Терапевт
      • Детский стоматолог
      • Ортодонт
      • Хирург
      • Имплантолог
      • Ортопед
      • Гнатолог
      • Пародонтолог
    • Помощники врачей-стоматологов
  • Отзывы
  • Контакты
  • Спецпредложения
  • Жизнь клиники
Кузнецова Екатерина Валерьевна
Детский стоматолог
     Стаж: более 15 лет     

Профессиональные навыки
  • Диагностика с искусственным интеллектом Diagnocat
  • Работа с детьми от 0 до 12 лет (молочный и сменный прикус)
  • Адаптация детей к лечению на стоматологическом приеме
  • Диагностика стоматологических заболеваний полости рта у детей
  • Профилактика стоматологических заболеваний
  • Профессиональная гигиена полости рта
  • Неинвазивная и инвазивная герметизация фиссур
  • Лечение кариеса молочных и постоянных зубов у детей
  • Лечение осложненного кариеса молочных зубов с применением биосовместимых методик
  • Эндодонтическое лечение молочных зубов
  • Ортопедическое лечение молочных зубов ( стандартные металлические коронки и циркониевые)
  • Удаление молочных зубов, установка держателя места при раннем удалении молочного зуба (аппарат петля-кольцо)
  • Пластика уздечек губы и языка у детей
  • Лечение детей с негативным опытом лечения, лечение особенных детей
  • Лечение в условиях ЗАКС и общего обезболивания
  • Автор обучающих курсов для детских стоматологов
  • Автор книги "Зубки и зубы: Всё о молочных и постоянных зубах ребёнка".

Образование
- 2009 г. Новосибирский Государственный Медицинский Университет, "Стоматология".
- 2009-2010 г. обучение в интернатуре «Стоматология общей практики»
- 2016 г. Российская медицинская академия непрерывного профессионального образования,  «Стоматология детская».
- 2019 г. Российская медицинская академия непрерывного профессионального образования, «Организация здравоохранения».
- 2020 г. Медицинская академия профессионального образования, повышение квалификации по специальности «Стоматология детская».
- 2021 г. Медицинская академия профессионального образования, "Терапевтическая стоматология".
- 4-8 марта, 2024 г.  - Италия, Неаполь. Повышение квалификации по стоматологии. 

Дополнительное образование
- 2011 г. курс "Повторное эндодонтическое лечение".
- "Острая боль" на детском стоматологическом приеме".
- "Лечение осложнений кариеса в сформированных и несформированных временных зубах".
- "Современные методики и технологии эстетической реставрации зубов композитными материалами".
- "Закись азото-кислородная седация на стоматологическом приеме".
- 2012 г. "Новейшие технологии в диагностике и лечении кариеса у детей".
- 2012 г. "Инструментальная обработка корневых каналов".
- 2012 г. семинар "Современные средства эндодонтического лечения".
- 2012 г. авторский курс "Минимально-инвазивное препарирование коронки и канала. Анатомия и доступ. "От единицы до семерки".
- 2013 г. курс "Инструментальная обработка корневых каналов - классика и современные возможности".
- 2014 г. "Anatomic stratification technique following lorenzo vanini".
- 2014 г. симпозиум "Современные материалы и технологии в эстетической стоматологии".
- 2014 г. симпозиум "Профилактика стоматологических заболеваний. Теория и практика".
- 2016 г. семинар "Стоматология детского возраста".
- 2018 г. курс "Адгезивные реставрации в детской стоматологии".
- 2018 г. Attended the Regional Meeting of the international Association of Paediatric Dentistry".
- 2019 г. Цикл вебинаров по детской стоматологии, г. Минск.
- 2019 г. курс "Неотложные состояния в детской стоматологии. "SEMPER PARATUS".
- 2019 г. курс "Презентация имплантологического лечения. Ступень 1".
- 2019 г. "Второй международный форум по детской стоматологии SECOND INTERNATIONAL PTOIATRIC DENTISTRY FORUM".
- 2021 г. курс "Основы хирургической стоматологии детского возраста".
- 2021 г. "Взрослые и детские реставрации".
- 2022 г. практический курс для руководителей стоматологических клиник "Шаолинь. Сэнсэй".
- 2022 г. семинар "Протезирование подростков: вкладки, накладки, коронки".
- 2022 г. семинар "Протезирование подростков: непрямые реставрации".
- 2022 г. "Гигиена и профилактика в стоматологии".
- 2024 г. теоретически-практический курс "Неотложные состояния в стоматологии. Теория и практика", г. Москва.
Сертификаты

Кузнецова Екатерина - наш детский стоматолог написала книгу о здоровье детских зубов - простым языком, с полезными советами от детского стоматолога

"Зубки и зубы: Всё о молочных и постоянных зубах ребёнка" 
Работы доктора
Лечение ребенка в условиях наркоза. Установка циркониевых коронок ребенку 2,5 года
Лечение ребенка в условиях наркоза. Лечение кариеса ребенку 1,3 года
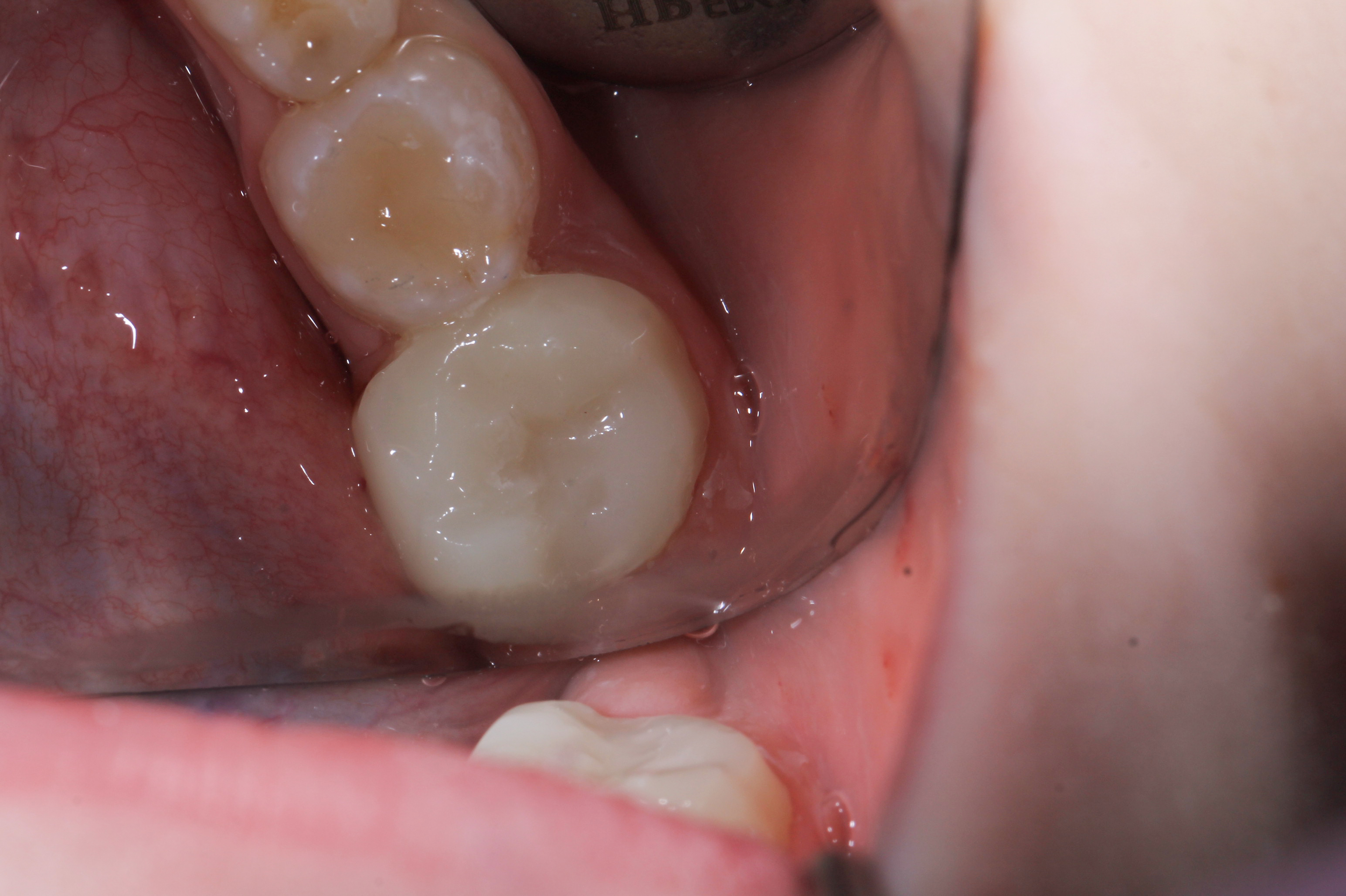
Восстановление зубов коронками диоксидциркония
Коронка на постоянный зуб
Коронка длительного ношения изготовлена из специальной прочной смолы высочайшего качества, идеально воспроизводящей анатомию детского зуба. Она создаётся индивидуально в современной цифровой лаборатории, гарантирующей максимальную точность изготовления. Такая коронка бережно сохраняет детский зубик, защищая его от повреждений и способствуя правильному развитию всей полости рта ребенка.
Установка распорки
Распорка на зуб ставится ребёнку для бережного сохранения пространства в зубном ряду, обеспечивая комфортное и правильное прорезывание постоянных зубов. Эта процедура помогает предотвратить смещение соседних зубов и гарантирует достаточное пространство для полноценного роста будущих постоянных зубов ребёнка. Таким образом, каждый маленький пациент получает заботливое внимание детского стоматолога, обеспечивающее здоровье улыбки на долгие годы вперёд.
Лечение кариес дентина. Ребенку 10 лет
Лечение под наркозом, ребенку 2 года
Лечение под наркозом
Лечение кариес дентина жевательной поверхности
Фиксация фрагмента зуба, после травмы
Лечение пульпита молочного зуба, ребенку 5 лет. Закрытие стандартной коронкой
Профессиональная гигиена полости рта, ребенку 7 лет
Отзывы пациентов
Как нас найти
Smile Spa 
Клиника эстетической и функциональной стоматологии

г. Одинцово, ул. Гвардейская, д.11
+7 (495) 640-21-36
+7 (966) 319-96-33
odintsovosmilespa@gmail.com
Logo
Меню
Главная
Прайс
Наши работы
Наша команда
Отзывы
Контакты
Услуги
Керамические виниры, коронки и вкладки
Имплантация
Исправление прикуса на элайнерах
Исправление прикуса на брекетах
Лечение кариеса
Лечение под микроскопом
Антистресс и лечение во сне
Нейромышечная стоматология
Детская стоматология
Детская ортодонтия
Логопедия
Полезная информация
Лицензия
Политика конфиденциальности
Пользовательское соглашение
Согласие посетителя сайта на обработку персональных данных
Юридическая информация
ООО "СМАЙЛС СОЛ"
ИМЕЮТСЯ ПРОТИВОПОКАЗАНИЯ. ОБРАТИТЕСЬ К СПЕЦИАЛИСТУ
© 2025  Все права защищены
Записаться на консультацию
Записаться на консультацию
Записаться на консультацию
Например, с 9:00-11:00
Политика конфиденциальности
Соблюдение Вашей конфиденциальности важно для нас. По этой причине, мы разработали Политику Конфиденциальности, которая описывает, как мы используем и храним Вашу информацию. Пожалуйста, ознакомьтесь с нашими правилами соблюдения конфиденциальности и сообщите нам, если у вас возникнут какие-либо вопросы. 
Сбор и использование персональной информации 
Под персональной информацией понимаются данные, которые могут быть использованы для идентификации определенного лица либо связи с ним. 
От вас может быть запрошено предоставление вашей персональной информации в любой момент, когда вы связываетесь с нами. 
Ниже приведены некоторые примеры типов персональной информации, которую мы можем собирать, и как мы можем использовать такую информацию. 
Какую персональную информацию мы собираем: 
Когда вы оставляете заявку на сайте, мы можем собирать различную информацию, включая ваши имя, номер телефона, адрес электронной почты и т.д. 
Как мы используем вашу персональную информацию: 
Собираемая нами персональная информация позволяет нам связываться с вами и сообщать об уникальных предложениях, акциях и других мероприятиях и ближайших событиях. 
Время от времени, мы можем использовать вашу персональную информацию для отправки важных уведомлений и сообщений. 
Мы также можем использовать персональную информацию для внутренних целей, таких как проведения аудита, анализа данных и различных исследований в целях улучшения услуг предоставляемых нами и предоставления Вам рекомендаций относительно наших услуг. 
Если вы принимаете участие в розыгрыше призов, конкурсе или сходном стимулирующем мероприятии, мы можем использовать предоставляемую вами информацию для управления такими программами. 
Раскрытие информации третьим лицам 
Мы не раскрываем полученную от Вас информацию третьим лицам. 
Исключения: 
В случае если необходимо — в соответствии с законом, судебным порядком, в судебном разбирательстве, и/или на основании публичных запросов или запросов от государственных органов на территории РФ — раскрыть вашу персональную информацию. Мы также можем раскрывать информацию о вас если мы определим, что такое раскрытие необходимо или уместно в целях безопасности, поддержания правопорядка, или иных общественно важных случаях. 
В случае реорганизации, слияния или продажи мы можем передать собираемую нами персональную информацию соответствующему третьему лицу – правопреемнику. 
Защита персональной информации 
Мы предпринимаем меры предосторожности — включая административные, технические и физические — для защиты вашей персональной информации от утраты, кражи, и недобросовестного использования, а также от несанкционированного доступа, раскрытия, изменения и уничтожения. 
Соблюдение вашей конфиденциальности на уровне компании 
Для того чтобы убедиться, что ваша персональная информация находится в безопасности, мы доводим нормы соблюдения конфиденциальности и безопасности до наших сотрудников, и строго следим за исполнением мер соблюдения конфиденциальности.


Политика конфиденциальности
Соблюдение Вашей конфиденциальности важно для нас. По этой причине, мы разработали Политику Конфиденциальности, которая описывает, как мы используем и храним Вашу информацию. Пожалуйста, ознакомьтесь с нашими правилами соблюдения конфиденциальности и сообщите нам, если у вас возникнут какие-либо вопросы. 
Сбор и использование персональной информации 
Под персональной информацией понимаются данные, которые могут быть использованы для идентификации определенного лица либо связи с ним. 
От вас может быть запрошено предоставление вашей персональной информации в любой момент, когда вы связываетесь с нами. 
Ниже приведены некоторые примеры типов персональной информации, которую мы можем собирать, и как мы можем использовать такую информацию. 
Какую персональную информацию мы собираем: 
Когда вы оставляете заявку на сайте, мы можем собирать различную информацию, включая ваши имя, номер телефона, адрес электронной почты и т.д. 
Как мы используем вашу персональную информацию: 
Собираемая нами персональная информация позволяет нам связываться с вами и сообщать об уникальных предложениях, акциях и других мероприятиях и ближайших событиях. 
Время от времени, мы можем использовать вашу персональную информацию для отправки важных уведомлений и сообщений. 
Мы также можем использовать персональную информацию для внутренних целей, таких как проведения аудита, анализа данных и различных исследований в целях улучшения услуг предоставляемых нами и предоставления Вам рекомендаций относительно наших услуг. 
Если вы принимаете участие в розыгрыше призов, конкурсе или сходном стимулирующем мероприятии, мы можем использовать предоставляемую вами информацию для управления такими программами. 
Раскрытие информации третьим лицам 
Мы не раскрываем полученную от Вас информацию третьим лицам. 
Исключения: 
В случае если необходимо — в соответствии с законом, судебным порядком, в судебном разбирательстве, и/или на основании публичных запросов или запросов от государственных органов на территории РФ — раскрыть вашу персональную информацию. Мы также можем раскрывать информацию о вас если мы определим, что такое раскрытие необходимо или уместно в целях безопасности, поддержания правопорядка, или иных общественно важных случаях. 
В случае реорганизации, слияния или продажи мы можем передать собираемую нами персональную информацию соответствующему третьему лицу – правопреемнику. 
Защита персональной информации 
Мы предпринимаем меры предосторожности — включая административные, технические и физические — для защиты вашей персональной информации от утраты, кражи, и недобросовестного использования, а также от несанкционированного доступа, раскрытия, изменения и уничтожения. 
Соблюдение вашей конфиденциальности на уровне компании 
Для того чтобы убедиться, что ваша персональная информация находится в безопасности, мы доводим нормы соблюдения конфиденциальности и безопасности до наших сотрудников, и строго следим за исполнением мер соблюдения конфиденциальности.