Мукумов Бахром Ботурович
Стоматолог - терапевт, гигиенист
Стаж: более 3 лет
Профессиональные навыки
- Диагностика с искусственным интеллектом Diagnocat
- Профессиональная гигиена полости рта
- Обучение пациентов домашнему уходу
- Лечение десен на аппарате Vector
- Глубокая чистка ручными инструментами
- Комплексная гигиена полости рта пациентам с протезами на имплантах с использованием ультразвука
- Отбеливание Zoom 4
- Художественная реставрация зубов
- Изготовление капп и сплинтов
Образование
- 2024 г. окончил Первый МГМУ им. И.М. Сеченова, врач-стоматолог общей практики.
Дополнительное образование
- 2023 г. Первый МГМУ им. И. М. Сеченова, повышение квалификации "Адгезивная стоматология: современные концепции и клинические аспекты".
- 2023 г. Первый МГМУ им. И. М. Сеченова, повышение квалификации "Непрямые реставрации в детской стоматологии".
- 2024 г. Первый МГМУ им. И. М. Сеченова, повышение квалификации "Первая помощь для врача стоматолога".
- 2023 г. Первый МГМУ им. И. М. Сеченова, повышение квалификации "Непрямые реставрации в детской стоматологии".
- 2024 г. Первый МГМУ им. И. М. Сеченова, повышение квалификации "Первая помощь для врача стоматолога".
Сертификаты
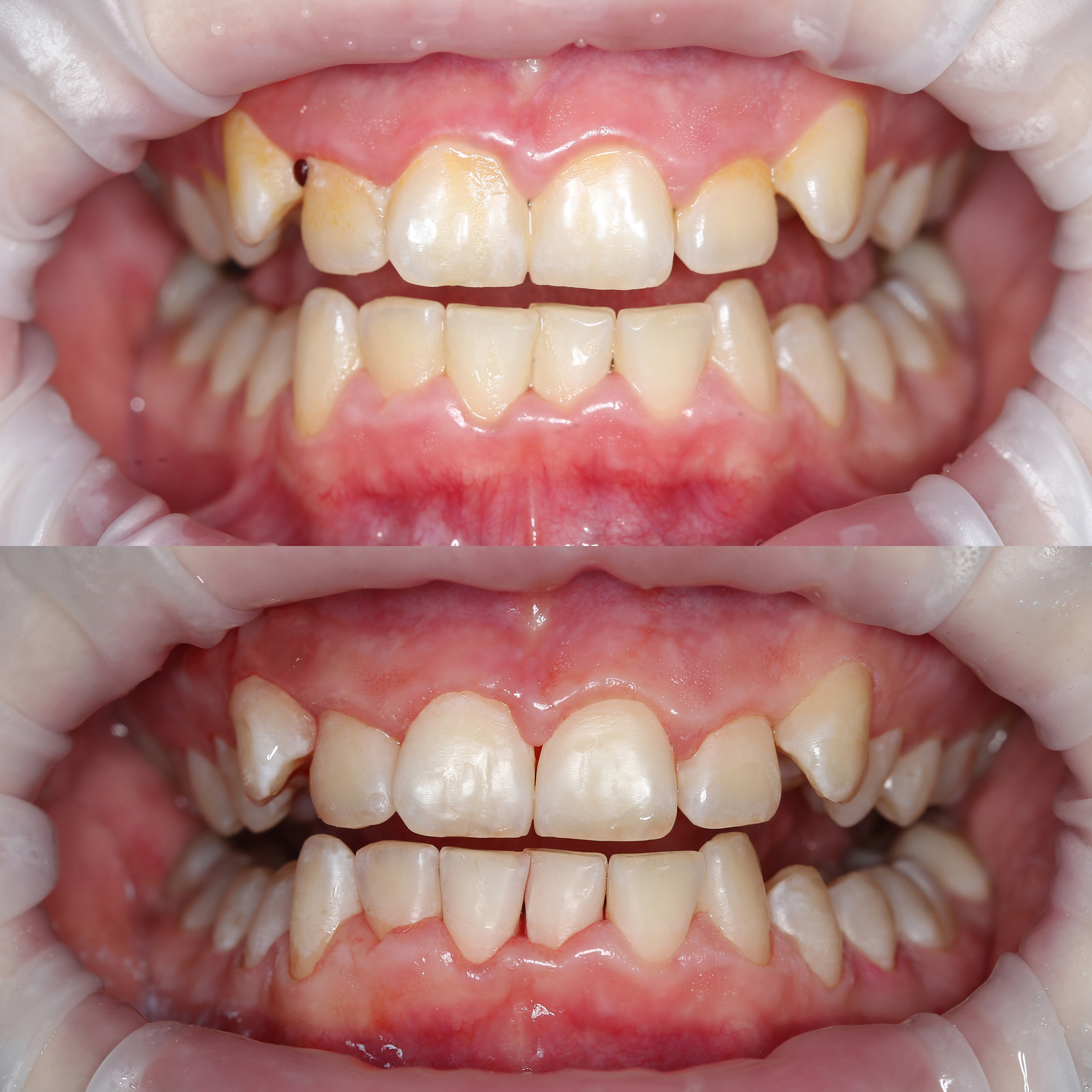
Лечение кариеса
Лечение кариеса
Лечение кариеса
Лечение кариеса
Как нас найти
Smile Spa
Клиника эстетической и функциональной стоматологии
г. Одинцово, ул. Гвардейская, д.11
+7 (495) 640-21-36
+7 (966) 319-96-33
odintsovosmilespa@gmail.com
