Logo
  • Главная
  • Услуги
  • Прайс
  • Фото работ
    • Наши пациенты
    • До и После
  • Команда
    • Врачи-стоматологи
      • Вся команда
      • Гигиенист
      • Терапевт
      • Детский стоматолог
      • Ортодонт
      • Хирург
      • Имплантолог
      • Ортопед
      • Гнатолог
      • Пародонтолог
    • Помощники врачей-стоматологов
  • Отзывы
  • Контакты
  • Спецпредложения
  • Жизнь клиники
  • Вакансии
Елистратова Алина Евгеньевна
Гигиенист стоматологический
   Стаж: 1 год 

Профессиональные навыки
  • Диагностика с искусственным интеллектом Diagnocat
  • Профессиональная гигиена полости рта 
  • Обучение пациентов домашнему уходу
  • Глубокая чистка ручными инструментами
  • Комплексная гигиена полости рта пациентам с протезами на имплантах с использованием ультразвука
Образование
- 2025 г. "Стоматологический колледж № 1", г. Москва. Специальность: стоматология профилактическая.
Дополнительное образование
- 2025 г. курс "Алгоритмы эффективного отбеливания зубов + одномоментный протокол профессиональной гигиены и отбеливания", г. Москва.
- 2025 г. семинар "Hygiene Global.Professional Personal. Все, что вы хотели знать про гигиену полости рта" Профессиональная гигиена полости рта с практикой на биофантомах, Н.Н. Прокофьева, г. Москва
- 2025 г. курс "Базовые принципы работы ручными пародонтологическими инструментами", Н.Н. Прокофьева, г. Москва
- 2025 г. iTOP - индивидуальный тренинг стоматологической профилактики. Программа обучения и мотивации в области профилактики для врачей-стоматологов и гигиенистов стоматологических. Н.Н. Прокофьева, г. Москва
Дипломы
Работы доктора

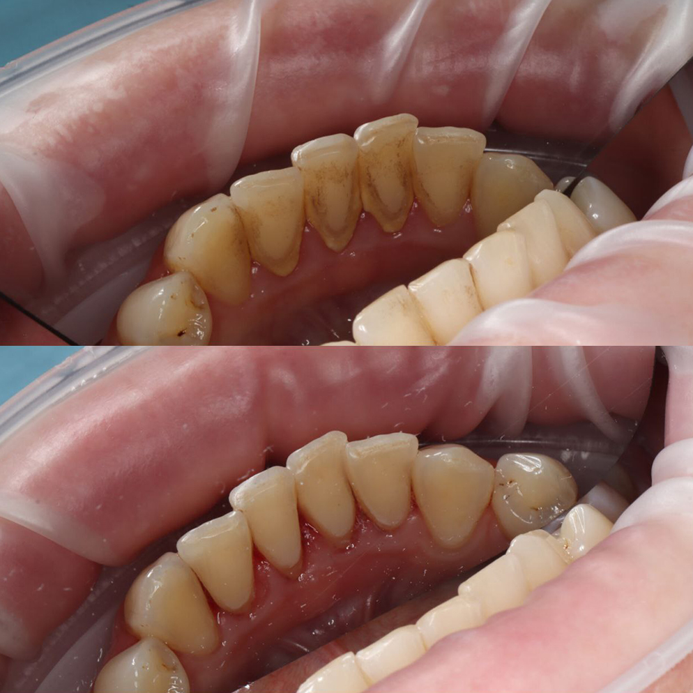
Профессиональная гигиена полости рта

до/после

Детская профессиональная гигиена полости рта
Отзывы пациентов
Очень уютная клиника с добрым и вежливым персоналом, доктора, их пощники, администраторы - настоящие профессионалы. Особенно впечатлили Елистратова Алина Евгеньевна и Еремеев Сергей Владиславович. Сергей Владиславович провел подробную консультацию, ответил на все волнующие меня вопросы, очень грамотный специалист. Алина Евгеньевна сделала мне профессиональную гигиену полости рта, оказалось, что это абсолютно безболезненно и не страшно, доктор объяснила, как правильно ухаживать за полостью рта, дала рекомендации после процедуры. Огромная благодарность докторам за чуткое отношение к пациентам. Я осталась довольна, рекомендую клинику всем, здесь вы забудете о страхе стоматологии.😍
Как нас найти
Smile Spa 
Клиника эстетической и функциональной стоматологии

г. Одинцово, ул. Гвардейская, д.11
+7 (495) 640-21-36
+7 (966) 319-96-33
odintsovosmilespa@gmail.com
Logo
Меню
Главная
Прайс
Наши работы
Наша команда
Отзывы
Контакты
Услуги
Керамические виниры, коронки и вкладки
Имплантация
Исправление прикуса на элайнерах
Исправление прикуса на брекетах
Лечение кариеса
Лечение под микроскопом
Антистресс и лечение во сне
Нейромышечная стоматология
Детская стоматология
Детская ортодонтия
Логопедия
Полезная информация
Лицензия
Политика конфиденциальности
Пользовательское соглашение
Согласие посетителя сайта на обработку персональных данных
Документы
ООО "СМАЙЛС СОЛ"
ИМЕЮТСЯ ПРОТИВОПОКАЗАНИЯ. ОБРАТИТЕСЬ К СПЕЦИАЛИСТУ
© 2025  Все права защищены
Записаться на консультацию
Политика конфиденциальности
Соблюдение Вашей конфиденциальности важно для нас. По этой причине, мы разработали Политику Конфиденциальности, которая описывает, как мы используем и храним Вашу информацию. Пожалуйста, ознакомьтесь с нашими правилами соблюдения конфиденциальности и сообщите нам, если у вас возникнут какие-либо вопросы. 
Сбор и использование персональной информации 
Под персональной информацией понимаются данные, которые могут быть использованы для идентификации определенного лица либо связи с ним. 
От вас может быть запрошено предоставление вашей персональной информации в любой момент, когда вы связываетесь с нами. 
Ниже приведены некоторые примеры типов персональной информации, которую мы можем собирать, и как мы можем использовать такую информацию. 
Какую персональную информацию мы собираем: 
Когда вы оставляете заявку на сайте, мы можем собирать различную информацию, включая ваши имя, номер телефона, адрес электронной почты и т.д. 
Как мы используем вашу персональную информацию: 
Собираемая нами персональная информация позволяет нам связываться с вами и сообщать об уникальных предложениях, акциях и других мероприятиях и ближайших событиях. 
Время от времени, мы можем использовать вашу персональную информацию для отправки важных уведомлений и сообщений. 
Мы также можем использовать персональную информацию для внутренних целей, таких как проведения аудита, анализа данных и различных исследований в целях улучшения услуг предоставляемых нами и предоставления Вам рекомендаций относительно наших услуг. 
Если вы принимаете участие в розыгрыше призов, конкурсе или сходном стимулирующем мероприятии, мы можем использовать предоставляемую вами информацию для управления такими программами. 
Раскрытие информации третьим лицам 
Мы не раскрываем полученную от Вас информацию третьим лицам. 
Исключения: 
В случае если необходимо — в соответствии с законом, судебным порядком, в судебном разбирательстве, и/или на основании публичных запросов или запросов от государственных органов на территории РФ — раскрыть вашу персональную информацию. Мы также можем раскрывать информацию о вас если мы определим, что такое раскрытие необходимо или уместно в целях безопасности, поддержания правопорядка, или иных общественно важных случаях. 
В случае реорганизации, слияния или продажи мы можем передать собираемую нами персональную информацию соответствующему третьему лицу – правопреемнику. 
Защита персональной информации 
Мы предпринимаем меры предосторожности — включая административные, технические и физические — для защиты вашей персональной информации от утраты, кражи, и недобросовестного использования, а также от несанкционированного доступа, раскрытия, изменения и уничтожения. 
Соблюдение вашей конфиденциальности на уровне компании 
Для того чтобы убедиться, что ваша персональная информация находится в безопасности, мы доводим нормы соблюдения конфиденциальности и безопасности до наших сотрудников, и строго следим за исполнением мер соблюдения конфиденциальности.


Политика конфиденциальности
Соблюдение Вашей конфиденциальности важно для нас. По этой причине, мы разработали Политику Конфиденциальности, которая описывает, как мы используем и храним Вашу информацию. Пожалуйста, ознакомьтесь с нашими правилами соблюдения конфиденциальности и сообщите нам, если у вас возникнут какие-либо вопросы. 
Сбор и использование персональной информации 
Под персональной информацией понимаются данные, которые могут быть использованы для идентификации определенного лица либо связи с ним. 
От вас может быть запрошено предоставление вашей персональной информации в любой момент, когда вы связываетесь с нами. 
Ниже приведены некоторые примеры типов персональной информации, которую мы можем собирать, и как мы можем использовать такую информацию. 
Какую персональную информацию мы собираем: 
Когда вы оставляете заявку на сайте, мы можем собирать различную информацию, включая ваши имя, номер телефона, адрес электронной почты и т.д. 
Как мы используем вашу персональную информацию: 
Собираемая нами персональная информация позволяет нам связываться с вами и сообщать об уникальных предложениях, акциях и других мероприятиях и ближайших событиях. 
Время от времени, мы можем использовать вашу персональную информацию для отправки важных уведомлений и сообщений. 
Мы также можем использовать персональную информацию для внутренних целей, таких как проведения аудита, анализа данных и различных исследований в целях улучшения услуг предоставляемых нами и предоставления Вам рекомендаций относительно наших услуг. 
Если вы принимаете участие в розыгрыше призов, конкурсе или сходном стимулирующем мероприятии, мы можем использовать предоставляемую вами информацию для управления такими программами. 
Раскрытие информации третьим лицам 
Мы не раскрываем полученную от Вас информацию третьим лицам. 
Исключения: 
В случае если необходимо — в соответствии с законом, судебным порядком, в судебном разбирательстве, и/или на основании публичных запросов или запросов от государственных органов на территории РФ — раскрыть вашу персональную информацию. Мы также можем раскрывать информацию о вас если мы определим, что такое раскрытие необходимо или уместно в целях безопасности, поддержания правопорядка, или иных общественно важных случаях. 
В случае реорганизации, слияния или продажи мы можем передать собираемую нами персональную информацию соответствующему третьему лицу – правопреемнику. 
Защита персональной информации 
Мы предпринимаем меры предосторожности — включая административные, технические и физические — для защиты вашей персональной информации от утраты, кражи, и недобросовестного использования, а также от несанкционированного доступа, раскрытия, изменения и уничтожения. 
Соблюдение вашей конфиденциальности на уровне компании 
Для того чтобы убедиться, что ваша персональная информация находится в безопасности, мы доводим нормы соблюдения конфиденциальности и безопасности до наших сотрудников, и строго следим за исполнением мер соблюдения конфиденциальности.