Logo
г. Одинцово, ул. Гвардейская, д.11
+7 (495) 640-21-36
Работаем с 9:00 до 21:00
  • Главная
  • Услуги
  • Прайс
  • Акции
  • Фото работ
    • Наши пациенты
    • До и После
  • Команда
    • Врачи-стоматологи
      • Вся команда
      • Гигиенист
      • Терапевт
      • Детский стоматолог
      • Ортодонт
      • Хирург
      • Имплантолог
      • Ортопед
      • Гнатолог
      • Пародонтолог
    • Помощники врачей-стоматологов
  • Отзывы
  • Контакты
  • Жизнь клиники
  • Вакансии
Апшев Алихан Анзорович
Стоматолог-терапевт, эндодонтист, микроскопист
    Стаж: 9 лет     

Профессиональные навыки 
  • Диагностика с искусственным интеллектом Diagnocat
  • Апикальная микрохирургия
  • Лечение кариеса
  • Эндодонтическое лечение зубов любой сложности с применением операционного микроскопа
  • Подготовка зубов перед ортопедическим лечением
  • Восстановление анатомической формы зубов: композитные реставрации, керамические вкладки EMAX
  • Диагностика, лечение и художественная реставрация зубов
  • Работа с МТА, системой SAF, вертикальная конденсация, извлечение из каналов вкладок, шифтов, обломки инструментов

Образование
- 2015 г. Ставропольский государственный медицинский университет (СтГМУ), врач-стоматолог
- 2016 г. ФГБУ ДПО "ЦГМА" УД Президента РФ, интернатура, врач-стоматолог общей практики

Дополнительное образование
- 2016 г. ФГБУ ДПО «ЦГМА» УД Президента РФ, "Стоматология ортопедическая".
- 2018 г. Академия инновационной стоматологии, "Стоматология детская".
- 2019 г. ООО "Центр Специализированного Образования "Проф-Ресурс", "Стоматология хирургическая".
- 2020 г. ООО "Центр Специализированного Образования "Проф-Ресурс", "Стоматология терапевтическая".
- 2017 г. курс "Препарирование зубов для изготовление полных коронок".
- 2018 г. курс "Планирование ортопедического лечения".
- 2019 г. курс "Эстетическая интеграция передних зубов в гармонию улыбки".
- Курс "Принципы препарирования и особенности фиксации цельно-керамических вкладок Inlay, Onlay, Overlay с использованием операционного микроскопа".

- 2024 г. теоретически-практический курс "Неотложные состояния в стоматологии. Теория и практика", г. Москва.
Сертификаты
Работы доктора
Лечение периодонтита. Зуб со сложной анатомией корневых каналов
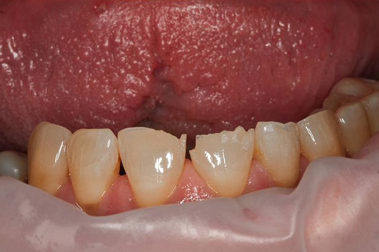
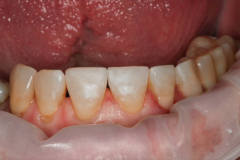
Восстановление режущего края перед тотальным протезированием
Жалобы на боль в зубе под коронкой. Усиливается  при накусывании.  Зуб лечили давно. Установлена вкладка. Было принято решение о проведении Апикальной микрохирургии. Через 6 месяцев мы видим восстановление костной ткани в области операции
До лечения
До лечения
После операции
После операции
Через 6 месяцев после лечения
Через 6 месяцев после лечения
Лечение кариеса
Лечение кариеса
Восстановление разрушенного зуба
Лечение кариеса
Лечение кариеса
Реставрация переднего зуба
Как нас найти
Smile Spa 
Клиника эстетической и функциональной стоматологии

г. Одинцово, ул. Гвардейская, д.11
+7 (495) 640-21-36
+7 (966) 319-96-33
odintsovosmilespa@gmail.com
Logo
Меню
Главная
Прайс
Наши работы
Наша команда
Отзывы
Контакты
Услуги
Керамические виниры, коронки и вкладки
Имплантация
Исправление прикуса на элайнерах
Исправление прикуса на брекетах
Лечение кариеса
Лечение под микроскопом
Антистресс и лечение во сне
Нейромышечная стоматология
Детская стоматология
Детская ортодонтия
Логопедия
Полезная информация
Лицензия
Политика конфиденциальности
Пользовательское соглашение
Согласие посетителя сайта на обработку персональных данных
Документы
ООО "СМАЙЛС СОЛ"
ИМЕЮТСЯ ПРОТИВОПОКАЗАНИЯ. ОБРАТИТЕСЬ К СПЕЦИАЛИСТУ
© 2026  Все права защищены
Записаться на консультацию
Записаться на консультацию
Например, с 9:00-11:00
Политика конфиденциальности
Соблюдение Вашей конфиденциальности важно для нас. По этой причине, мы разработали Политику Конфиденциальности, которая описывает, как мы используем и храним Вашу информацию. Пожалуйста, ознакомьтесь с нашими правилами соблюдения конфиденциальности и сообщите нам, если у вас возникнут какие-либо вопросы. 
Сбор и использование персональной информации 
Под персональной информацией понимаются данные, которые могут быть использованы для идентификации определенного лица либо связи с ним. 
От вас может быть запрошено предоставление вашей персональной информации в любой момент, когда вы связываетесь с нами. 
Ниже приведены некоторые примеры типов персональной информации, которую мы можем собирать, и как мы можем использовать такую информацию. 
Какую персональную информацию мы собираем: 
Когда вы оставляете заявку на сайте, мы можем собирать различную информацию, включая ваши имя, номер телефона, адрес электронной почты и т.д. 
Как мы используем вашу персональную информацию: 
Собираемая нами персональная информация позволяет нам связываться с вами и сообщать об уникальных предложениях, акциях и других мероприятиях и ближайших событиях. 
Время от времени, мы можем использовать вашу персональную информацию для отправки важных уведомлений и сообщений. 
Мы также можем использовать персональную информацию для внутренних целей, таких как проведения аудита, анализа данных и различных исследований в целях улучшения услуг предоставляемых нами и предоставления Вам рекомендаций относительно наших услуг. 
Если вы принимаете участие в розыгрыше призов, конкурсе или сходном стимулирующем мероприятии, мы можем использовать предоставляемую вами информацию для управления такими программами. 
Раскрытие информации третьим лицам 
Мы не раскрываем полученную от Вас информацию третьим лицам. 
Исключения: 
В случае если необходимо — в соответствии с законом, судебным порядком, в судебном разбирательстве, и/или на основании публичных запросов или запросов от государственных органов на территории РФ — раскрыть вашу персональную информацию. Мы также можем раскрывать информацию о вас если мы определим, что такое раскрытие необходимо или уместно в целях безопасности, поддержания правопорядка, или иных общественно важных случаях. 
В случае реорганизации, слияния или продажи мы можем передать собираемую нами персональную информацию соответствующему третьему лицу – правопреемнику. 
Защита персональной информации 
Мы предпринимаем меры предосторожности — включая административные, технические и физические — для защиты вашей персональной информации от утраты, кражи, и недобросовестного использования, а также от несанкционированного доступа, раскрытия, изменения и уничтожения. 
Соблюдение вашей конфиденциальности на уровне компании 
Для того чтобы убедиться, что ваша персональная информация находится в безопасности, мы доводим нормы соблюдения конфиденциальности и безопасности до наших сотрудников, и строго следим за исполнением мер соблюдения конфиденциальности.


Политика конфиденциальности
Соблюдение Вашей конфиденциальности важно для нас. По этой причине, мы разработали Политику Конфиденциальности, которая описывает, как мы используем и храним Вашу информацию. Пожалуйста, ознакомьтесь с нашими правилами соблюдения конфиденциальности и сообщите нам, если у вас возникнут какие-либо вопросы. 
Сбор и использование персональной информации 
Под персональной информацией понимаются данные, которые могут быть использованы для идентификации определенного лица либо связи с ним. 
От вас может быть запрошено предоставление вашей персональной информации в любой момент, когда вы связываетесь с нами. 
Ниже приведены некоторые примеры типов персональной информации, которую мы можем собирать, и как мы можем использовать такую информацию. 
Какую персональную информацию мы собираем: 
Когда вы оставляете заявку на сайте, мы можем собирать различную информацию, включая ваши имя, номер телефона, адрес электронной почты и т.д. 
Как мы используем вашу персональную информацию: 
Собираемая нами персональная информация позволяет нам связываться с вами и сообщать об уникальных предложениях, акциях и других мероприятиях и ближайших событиях. 
Время от времени, мы можем использовать вашу персональную информацию для отправки важных уведомлений и сообщений. 
Мы также можем использовать персональную информацию для внутренних целей, таких как проведения аудита, анализа данных и различных исследований в целях улучшения услуг предоставляемых нами и предоставления Вам рекомендаций относительно наших услуг. 
Если вы принимаете участие в розыгрыше призов, конкурсе или сходном стимулирующем мероприятии, мы можем использовать предоставляемую вами информацию для управления такими программами. 
Раскрытие информации третьим лицам 
Мы не раскрываем полученную от Вас информацию третьим лицам. 
Исключения: 
В случае если необходимо — в соответствии с законом, судебным порядком, в судебном разбирательстве, и/или на основании публичных запросов или запросов от государственных органов на территории РФ — раскрыть вашу персональную информацию. Мы также можем раскрывать информацию о вас если мы определим, что такое раскрытие необходимо или уместно в целях безопасности, поддержания правопорядка, или иных общественно важных случаях. 
В случае реорганизации, слияния или продажи мы можем передать собираемую нами персональную информацию соответствующему третьему лицу – правопреемнику. 
Защита персональной информации 
Мы предпринимаем меры предосторожности — включая административные, технические и физические — для защиты вашей персональной информации от утраты, кражи, и недобросовестного использования, а также от несанкционированного доступа, раскрытия, изменения и уничтожения. 
Соблюдение вашей конфиденциальности на уровне компании 
Для того чтобы убедиться, что ваша персональная информация находится в безопасности, мы доводим нормы соблюдения конфиденциальности и безопасности до наших сотрудников, и строго следим за исполнением мер соблюдения конфиденциальности.


Записаться на консультацию
Например, с 9:00-11:00